• العربية
  • پښتو
  • English
Brand
  • برنامه‌ها
  • تلویزیون
  • رادیو
  • افغانستان
  • جهان
  • زاویه
  • صفحه شما
  • ورزش
  • بازار
  • برنامه‌ها
  • تلویزیون
  • رادیو
  • افغانستان
  • جهان
  • زاویه
  • صفحه شما
  • ورزش
  • بازار
  • پوسته
  • زبان
    • العربية
    • پښتو
    • English
  • برنامه‌ها
  • تلویزیون
  • رادیو
  • افغانستان
  • جهان
  • زاویه
  • صفحه شما
  • ورزش
  • بازار
کلیه حقوق قانونی این سایت متعلق به ولانت‌مدیا است.
volant media logo

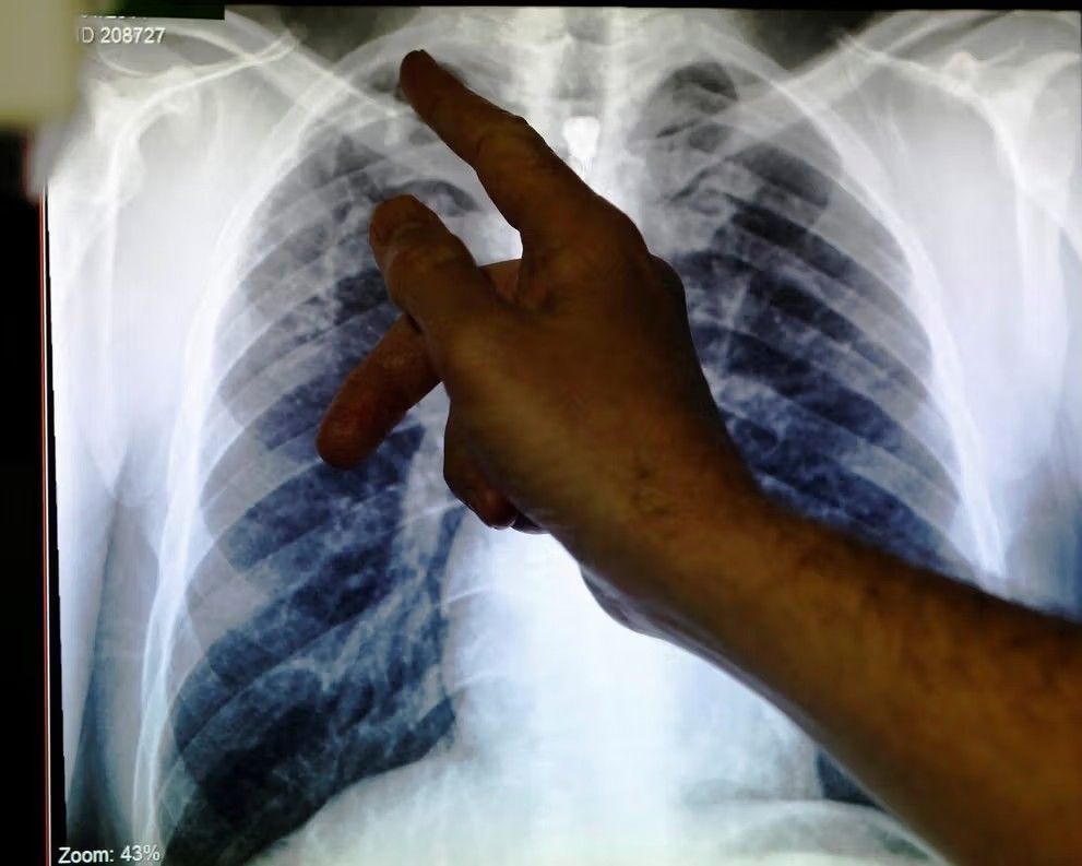
سازمان بهداشت جهانی می‌گوید توبرکلوز همچنان یک تهدید جدی در افغانستان است

۴ حمل ۱۴۰۵، ۰۹:۰۵ (‎+۰ گرینویچ)

سازمان بهداشت جهانی به‌مناسبت روز جهانی توبرکلوز اعلام کرده است که سالانه هزاران نفر در افغانستان به این بیماری مبتلا می‌شوند. ادوین سینیزا سلوادور، رئیس این سازمان در افغانستان، هشدار داد توبرکلوز همچنان یک تهدید جدی بهداشتی در این کشور است.

این نهاد وابسته به سازمان ملل روز سه‌شنبه، چهارم حمل، همزمان با روز جهانی توبرکلوز در یادداشتی در شبکه اجتماعی اکس نوشت که بسیاری از موارد این بیماری در افغانستان بدون تشخصی باقی می‌مانند.

این سازمان همچنین با تاکید بر گسترش تشخیص زودهنگام، بهبود دسترسی به تداوی و نادیده گرفته نشدن بیماران خواستار اقدام جمعی برای پایان دادن به توبرکلوز شده است.

رئیس سازمان جهانی بهداشت در افغانستان گفت: «پایان دادن به توبرکلوز تنها یک آرزو نیست، بلکه هدفی قابل دستیابی است.»

بر اساس داده‌های سازمان جهانی بهداشت، بیماری سل یکی از ده عامل مهم مرگ‌ومیر در جهان است و نزدیک به ده میلیون نفر سالانه به این بیماری مبتلا می‌شوند.

براساس آمار سازمان جهانی بهداشت در سال ٢٠٢٣ میلادی حدود ٨٠ هزار مورد ابتلا به سل توبرکلوز در افغانستان ثبت شده است.

پربازدیدترین‌ها

رئیس انستیتوت ثبات راهبردی جنوب آسیا: افغانستان جغرافیای خود را از دست می‌دهد
۱

رئیس انستیتوت ثبات راهبردی جنوب آسیا: افغانستان جغرافیای خود را از دست می‌دهد

۲

ریچارد بنت: افغان‌های مقیم خارج باید امید را زنده نگه دارند

۳

از رخشانه تا فرزانه؛ روایت قتل هولناک زنی جوان در غور

۴

روسیه از کشورها خواست فورا دیپلمات‌های خود را از کی‌یف خارج کنند

۵

رهبر یهودی که برای مسلمانان بریتانیا می‌رزمد کیست؟

•
•
•

مطالب بیشتر

برلین نماینده طالبان را به عنوان سرپرست سفارت افغانستان در آلمان نمی‌پذیرد

۳ حمل ۱۴۰۵، ۲۱:۰۶ (‎+۰ گرینویچ)

وزارت خارجه آلمان در واکنش به گزارش‌ها درباره تعیین شدن یک نماینده طالبان در راس سفارت افغانستان در برلین، گفته است که از نظر حقوقی هیچ تغییر و انتصاب جدیدی را در این نمایندگی نمی‌پذیرد.

پیش از این، افغانستان اینترنشنال بر مبنای اسناد وزارت خارجه طالبان گزارش داده بود که طالبان عبدالباقی پوپل، سرپرست سفارت افغانستان در آلمان را برکنار کرده است.

همچنین، شبکه آی‌آردی آلمان نیز گزارش داده بود که طالبان یک دیپلومات خود را به عنوان سرپرست سفارت افغانستان در برلین گماشته است.

به گزارش دویچه وله، سخنگوی وزارت خارجه آلمان روز دوشنبه گفت که باید دیپلومات حکومت پیشین افغانستان مدیریت سفارت این کشور را به عهده داشته باشد.

او تاکید کرده است که برای به رسمیت شناخته شدن یک دیپلومات به عنوان سفیر یا سرپرست سفارت افغانستان، باید آلمان با آن موافقت کند، اما در این مورد «هیچ‌یک از مراحل انجام نشده است».

در نامه وزارت خارجه طالبان از عبدالباقی پوپل خواسته شده بود که پیش از پایان رسمی ماموریت، وظایف خود را به نبراس‌الحق عزیز، دیپلومات منصوب شده طالبان، واگذار کند.

گفته می‌شود که پوپل به عنوان کارمند محلی ایفای وظیفه خواهد کرد.

منابع دیپلوماتیک در برلین به افغانستان اینترنشنال گفتند که وزارت خارجه آلمان به‌صورت رسمی در جریان این انتصاب قرار نگرفته است.

  • طالبان سرپرست سفارت افغانستان در آلمان را برکنار کرد

    طالبان سرپرست سفارت افغانستان در آلمان را برکنار کرد

بر اساس اطلاعات موجود، طالبان از پوپل در امور رسمی با کشور میزبان بهره‌برداری می‌کند، اما در اسناد داخلی، او تنها به‌عنوان کارمند محلی فعالیت می‌کند.

وزارت خارجه آلمان گفته است که ادامه خدمات قونسلی در نمایندگی‌های افغانستان برای برلین اهمیت زیاد دارد. به گفته این وزارت، برلین خواهان آن است که خدماتی مانند صدور ویزا و پاسپورت به شکل منظم ادامه یابد و افرادی در سفارت حضور داشته باشند که بتوانند پاسپورت‌هایی صادر کنند که اداره طالبان نیز آن را بپذیرد.
در حال حاضر، در ساختار رسمی سفارت افغانستان در برلین، یک کاردار که پیش از سال ۲۰۲۱ منصوب شده، به عنوان طرف تماس حکومت آلمان شناخته می‌شود، اگر چه در عمل فردی معرفی‌شده از سوی طالبان مدیریت سفارت را به دست گرفته است.

آقای پوپل چند ماه پیش به جای یما یاری به‌عنوان سرپرست سفارت تعیین شده بود. عبدالباقی پوپل پیش‌تر در برلین به‌عنوان کاردار سفارت افغانستان فعالیت کرده و اهل ولسوالی پنجوایی ولایت قندهار است.

او در حکومت پیشین افغانستان به‌عنوان معاون ارگان‌های محل فعالیت داشته است.

آلمان اداره طالبان را به عنوان حکومت رسمی افغانستان به رسمیت نمی‌شناسد.

طالبان «برای جذب کمک خارجی» دست به دامان مشاورانی با سابقه خدمت به امریکا شده است

۳ حمل ۱۴۰۵، ۱۵:۴۳ (‎+۰ گرینویچ)
•
عبدالحق عمری

در سندی که افغانستان اینترنشنال به‌دست آورده، ریاست پیگیری فرمان‌های رهبر طالبان به وزارت صحت دستور داده یک مشاور پیشین نیروهای امریکایی را استخدام کند. در این سند، تجربه عبدالله اسراییل با خارجی‌ها «برجسته» توصیف شده است.

در این مکتوب، هدف از استخدام عبدالله اسراییل آرین در مشاوریت وزارت صحت، جبران کاهش چشمگیر کمک‌های خارجی و ایجاد اعتماد نزد سازمان‌های بین‌المللی عنوان شده تا اطمینان حاصل شود کمک‌ها به افراد نیازمند می‌رسد.

این سند که به تاریخ چهارم قوس ۱۴۰۳ به وزارت صحت عامه ارسال شده، از این وزارت خواسته شده است آقای آرین به‌عنوان مشاور در بخش نظارت و هماهنگی با سازمان‌های غیردولتی (ان‌جی‌اوها) منصوب شود. در مکتوب تأکید شده که او پیش‌تر به‌عنوان مشاور غیرنظامی نیروهای امریکایی در کمپ ایگل فعالیت داشته و تصاویرش نیز ضمیمه حکم شده است.

افغانستان اینترنشنال این تصاویر را دریافت کرده که نشان می‌دهد آرین در کنار نیروهای امریکایی حضور دارد.

همچنین در مکتوب استفاده از افراد دارای سابقه همکاری با نهادهای بین‌المللی، برای پیشبرد امور و جذب کمک‌ها یک ضرورت دانسته شده است. منابع داخلی طالبان به افغانستان اینترنشنال گفته‌اند که دفتر هبت‌الله آخندزاده و ریاست عمومی استخبارات این گروه نیز در جریان انتصاب آقای آرین قرار گرفته‌اند.

بر اساس اطلاعات تأییدشده، آقای آرین در نشست‌ها و سفرهای رسمی وزارت صحت عامه، و جلال جلالی، وزیر این وزارت را همراهی کرده است. یک مقام طالبان که نخواست نامش فاش شود، گفت پس از کاهش کمک‌های امریکا، تلاش‌ها برای جذب مشاوران با پیشینه همکاری با نهادهای خارجی افزایش یافته است.

100%

نزدیک به پنج سال از حاکمیت طالبان می‌گذرد، اما گزارش‌ها نشان می‌دهد بسیاری از نیروهای متخصص یا کشور را ترک کرده‌اند یا در داخل بدون کار مانده‌اند.

همزمان، گزارش‌هایی از بازداشت و قتل برخی از نیروهای امنیتی پیشین نیز منتشر شده است.

طالبان همچنین در پی کاهش کمک‌های خارجی، حدود ۲۰ درصد از ساختار اداری خود را کوچک کرده‌اند.

پیام تسلیت طالبان به ترکیه و قطر در پی حادثه سقوط چرخبال و ابراز همدردی با قربانیان

۳ حمل ۱۴۰۵، ۱۴:۲۰ (‎+۰ گرینویچ)

وزارت خارجه طالبان در بیانیه‌ای کشته شدن دست‌کم ۷ شهروند ترکیه و قطر در سقوط یک هلی‌کوپتر را تسلیت گفت. این وزارتخانه با دولت‌های ترکیه و قطر و خانواده‌های قربانیان ابراز همدردی کرده است.

در بیانیه‌ای که روز دوشنبه سوم حمل در صفحه اکس عبدالقهار بلخی، سخنگوی وزارت خارجه طالبان منتشر شد، آمده است که وزارت خارجه طالبان خود را شریک این غم می‌داند.

وزارت داخله‌ قطر روز یکشنبه دوم حمل اعلام کرد که در پی سقوط یک بالگرد نظامی در آب‌های این کشور، هر هفت سرنشین آن جان باخته‌اند.

در میان سرنشینان این چرخبال یک سرباز و دو پرسنل شرکت دفاعی ترکیه نیز شامل بودند. وزارت دفاع قطر علت سقوط این چرخبال را «نقص فنی» خوانده است.

نبیل: طالبان آینده افغانستان را قفل کرده است

۳ حمل ۱۴۰۵، ۱۳:۵۲ (‎+۰ گرینویچ)

رحمت‌الله نبیل، رئیس پیشین اداره امنیت ملی افغانستان، با آغاز سال آموزشی جدید گفته است که بسته ماندن مکاتب به روی دختران توسط طالبان، تنها مانع آموزش نمی‌شود، بلکه دروازه‌های آینده افغانستان را نیز می‌بندد.

آقای نبیل روز دوشنبه سوم حمل، با بازنشر ویدیویی از راهپیمایی دختران دانش‌آموز در چهار سال پیش در شبکه اکس نوشت که آینده هر کشوری بر پایه دانش، آگاهی و امید ساخته می‌شود و جلوگیری از آموزش، نه‌تنها یک تصمیم سیاسی یا دینی نیست، بلکه «دشمنی آشکار با سرنوشت یک ملت» است.

وی افزود که وقتی نادانی تقدس پیدا کند، تاریکی حاکم می‌شود. به گفته او، طالبان نیرویی است که افغانستان را از روشنایی به سمت تاریکی کشانده است.

رئیس پیشین امنیت ملی افغانستان ابراز امیدواری کرده و گفته است هیچ تاریکی پایدار نیست و روشنایی سرانجام راه خود را پیدا خواهد کرد.

پس از بازگشت طالبان به قدرت، درهای مکاتب به‌روی دختران بالاتر از صنف ششم و همچنین دانشگاه‌ها بسته شد و این محدودیت‌ها همچنان ادامه دارد.

این سیاست‌ها باعث شده است میلیون‌ها دختر و زن از حق آموزش محروم شوند و فرصت‌های آینده‌شان به‌شدت محدود گردد.

پژوهشگر چینی: طالبان خواسته‌های چین درباره جنبش ترکستان شرقی را برآورده نمی‌کند

۳ حمل ۱۴۰۵، ۰۸:۵۵ (‎+۰ گرینویچ)

لیو زونگی، مدیر مرکز تحقیقات همکاری چین و آسیای جنوبی در موسسه مطالعات بین‌المللی شانگهای که اخیرا به افغانستان سفر کرده، می‌گوید طالبان حاضر به برآورده کردن خواسته‌های چین در مورد جنبش اسلامی ترکستان شرقی نیست.

این پژوهشگر در مصاحبه با نشریه «گوانچا» گفته است که جنبش اسلامی ترکستان شرقی با دولت طالبان بیعت کرده است.

او می‌گوید طالبان به دلایل مختلف از جمله به دلیل «رفاقت» ناشی از جنگیدن مشترک با شوروی، باورهای مذهبی مشترک، سنت‌های قبیله‌ای و پیوندهای اجتماعی مانند ازدواج بین قومی، حاضر به برآورده کردن خواسته‌های چین درباره جنبش اسلامی ترکستان شرقی نیست.

لیو زونگی گفت: «مسائل امنیتی، به ویژه مسائل مربوط به جنبش اسلامی ترکستان شرقی به یکی از حساس‌ترین نکات در تبادلات ما با طالبان تبدیل شده است.»

او گفت طالبان می‌گوید جنبش اسلامی ترکستان شرقی در حال حاضر کاملا تحت کنترول این گروه است، اما در عین حال، به وضوح از برآورده کردن کامل خواسته‌های مرتبط با چین خودداری می‌کنند.

این پژوهشگر گفت: «جنبش اسلامی ترکستان شرقی با دولت طالبان بیعت کرده و به آن در حفظ نظم در بخش‌هایی از منطقه کمک می‌کند؛ واقعیتی که مسائل دیپلوماتیک مرتبط را پیچیده می‌کند.»

لیو زونگی با اظهار اینکه چالش‌ها همچنان پابرجا هستند، هشدار داده که در حال حاضر، چندین سازمان تروریستی، از جمله شاخه خراسان داعش، جنبش اسلامی ترکستان شرقی، تحریک طالبان پاکستان و ارتش آزادی‌بخش بلوچ، هنوز در افغانستان فعالند.

لیو زونگی گفته است که سفرش به افغانستان به دعوت امیرخان متقی، وزیر خارجه طالبان بوده است. او در طول اقامت چهار روزه خود در کابل، با مقامات وزارت خارجه طالبان و برخی دیگر گفت‌وگوهای متعددی داشته است.

امید طالبان به سرمایه‌گذاری چین

لیو زونگی می‌گوید در سفرش به کابل، در گفت‌وگوها با او، موضوعی که اغلب تاکید می‌شد، امید به سرمایه‌گذاری چین در افغانستان بود.

به گفته وی، طالبان امیدوار است از همکاری اقتصادی به عنوان بستری برای ترویج عادی‌سازی روابط دوجانبه با چین، آسیای مرکزی و سایر کشورها و مناطق استفاده کند.

او همچنین اضافه کرد: «آنها اظهار داشتند که مایل به برقراری روابط دیپلوماتیک عادی با هر کسی هستند که مایل به تعامل با آنها باشد و شکایات تاریخی گذشته پیگیری نخواهد شد.»

کشت مواد مخدر هنوز ادامه دارد

مدیر مرکز تحقیقات همکاری چین و آسیای جنوبی در موسسه مطالعات بین‌المللی شانگهای در بخشی دیگر از مصاحبه‌اش می‌گوید کشت مواد مخدر در افغانستان هنوز وجود دارد.

به گفته وی، اقتصاد افغانستان در حال حاضر عمدتا بر دو ستون متکی است: کشاورزی و دامداری و کمک‌های بین‌المللی.

او می‌گوید هرچند کمک‌های ایالات متحده و کشورهای غربی به طور قابل توجهی کاهش یافته است، اما کمک‌های بانک جهانی و سازمان ملل متحد همچنان ادامه دارد و «هر ماه مبالغ زیادی پول برای حفظ معیشت اولیه مردم به کابل می‌رسد.»

این پژوهشگر چینی گفت از زمان به قدرت رسیدن مجدد طالبان، اقتصاد افغانستان پیشرفت مداومی را نشان داده است، اما سطح کلی آن هنوز به سطح دولت غنی در سال ۲۰۲۰ نرسیده است.

کشورها نمی‌خواهند در افغانستان سرمایه‌گذاری کنند

این پژوهشگر گفت که مشکلاتی مانند کمبود بودجه، فقدان فناوری، انزوای بین‌المللی، و ظرفیت حاکمیت داخلی وجود دارند که مانع ثبات اقتصادی افغانستان می‌شوند.

لیو زونگی توضیح داد: «بسیاری از کشورها تمایلی به سرمایه‌گذاری در افغانستان ندارند و دلیل اصلی این است که ایالات متحده هنوز تحریم‌های مالی خود را علیه این کشور لغو نکرده است.»

او می‌گوید این بدان معناست که ورود سرمایه خارجی به افغانستان دشوار است و حتی اگر هم باشد، انتقال سود به راحتی امکان‌پذیر نیست.

به گفته وی، علاوه بر این موارد، محیط سرمایه‌گذاری در افغانستان بسیار سخت است و با حضور گروه‌های تروریستی، ناامنی مهم‌ترین مانع آن است.

چین بسیار کمتر از امریکایی‌ و اروپایی‌ها پول می‌دهد

لیو زونگی در بخشی دیگر از مصاحبه‌اش صحبت یک مقام وزارت خارجه طالبان را که با او دیدار داشته، روایت می‌کند. او می‌گوید: «یکی از مقامات وزارت خارجه افغانستان که مسئول امور چین است، مستقیما به ما گفت ایالات متحده و اتحادیه اروپا هر ساله چقدر پول به ما می‌دهند. پولی که چین در پنج سال گذشته به ما داده است، حتا به بخش کوچکی از آن هم نمی‌رسد. آیا این برایتان قابل قبول است؟»

لیو زونگی گفته است که بلافاصله به این اظهارنظر مقام وزارت خارجه طالبان پاسخ داده است.

او افزود: «بلافاصله پاسخ دادیم که مشکلات شما از جانب ما ایجاد نشده است. وضعیت فعلی افغانستان چه ربطی به ما دارد؟ کمک‌ها و کارهای خیریه ما از روی انسان‌دوستی است.»

آقای زونگی نامی از این مقام وزارت خارجه طالبان نبرده، اما گفت «او احتمالا متوجه اشتباه خود شد و پس از گفتن یک بار، دیگر آن را تکرار نکرد.»

در این مصاحبه به گفته برخی از چینی‌های آشنا به منطقه آمده است که «یکی از ویژگی‌های برجسته شخصیت ملی افغان‌ها، زیرکی آنها در "متقاعدسازی و چانه‌زنی" است.» طبق گزارش، حمله امریکا به افغانستان طی بیست سال، با سرمایه‌گذاری تقریبا دو تریلیون دالر امریکا، منجر به ساخت تقریبا هیچ جاده مناسبی نشد.